##plugins.themes.bootstrap3.article.main##

Zhidong Wang Jiajie Chen Liyang Dang Qiang Li

Abstract

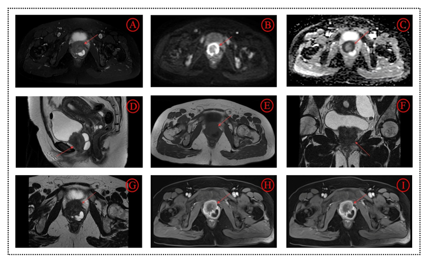
This case report presents a 43-year-old female with primary perineural neuroendocrine carcinoma (NEC) of the urethra, an exceptionally rare malignancy accounting for less than 0.5% of urinary tract tumours. The patient presented with dysuria and pain, initially misdiagnosed as a urinary tract infection. Imaging revealed a urethral mass with cystic changes posteriorly, showing heterogeneous enhancement with a characteristic “target sign” on MRI and restricted diffusion on DWI, correlating with high Ki-67 expression (70%). Histopathological and immunohistochemical findings confirmed large-cell neuroendocrine carcinoma. This case provides comprehensive CT and MRI imaging features aiding in early diagnosis and differential diagnosis from more common urethral carcinomas.

Downloads

Download data is not yet available.

##plugins.themes.bootstrap3.article.details##

Section
Articles